South Burlington Office

1775 Williston Road
Suite 250
South Burlington, VT 05403
Phone: (802) 735-1209
Click here for office hours.

Barre Office

248 S Main St.
Barre, VT 05641
Phone: (802) 476-0995
Click here for office hours.

Visit our blog Watch us on YouTube Find us on Facebook Follow us on Twitter
ADA AAP AAP

About Implants

Dental Implants

 

 

Overview

 

For almost a hundred years dentistry has tried, with limited success, to find a way to replace missing teeth with artificial teeth that attach to the jawbone. Twenty-five years ago the technique was perfected, and now hundreds of thousands of patients have dental implants placed each year.

Implants are titanium posts that are placed in the bone to serve as the replacement for the root portion of a missing natural tooth. The implant is biocompatible with human tissue, and in three decades of use there have been no known foreign body reactions. After allowing time for the jawbone to bond to the surface of the implant (osseointegration), a post is attached to the implant. This post exits the gum and a crown or other restoration is placed on the post. The final restoration is similar to a crown on a natural tooth, and is not removable. It feels and functions as a normal tooth. This ability to add a tooth where it is needed has changed the way dentistry is practiced.

implant diagram 1

Missing front tooth to be replaced with an implant

 
implant diagram 3 
Implant inserted in jawbone
implant diagram 4

Permanent crown cemented to post

Implants can be used to hold single crowns, or multiple crowns and bridges. However, connecting natural teeth and implants with bridges is generally not advised.

implant diagram 5 implant diagram 6

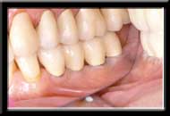
Multiple implants used to replace back teeth

implant diagram 7 implant diagram 8

Multiple implants placed in upper jaw with no natural teeth, and restored with non-removable, complete crown and bridge dentistry

In addition to holding crowns, implants can be used to support partial dentures and "overlay" dentures, where the appliance is supported by implants but can be removed.

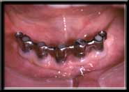
implant diagram 9

Edentulous lower jaw

implant diagram 10

Two implants placed, securing a denture with O-rings or Locator attachments

implant diagram 11

Four implants supporting a bar upon which the denture clips. This is a very secure denture when seated.

There are many benefits to using dental implants. When teeth are lost, ongoing shrinkage of the jawbone occurs, which can cause the face to look older. This shrinkage can also make adequate fit of a partial or full denture difficult. Placing implants can slow or stop this process. Dental implants look, feel, and function like natural teeth, and offer a tremendous improvement in comfort, speech, eating, and convenience over conventional partial and full dentures.

 

Implant Replacement for Single Teeth

 

While a single tooth can be replaced with a removable appliance, the looks, function, and convenience of a "permanent" replacement are far superior. In the past this could only be accomplished with a bridge, where the teeth on either side of the missing tooth are crowned, with the replacement tooth connected to the crowns.

This is an excellent restoraton, but many people would prefer not to have to "prepare", or cut down, the adjacent teeth. Today, implants have become predictable and are often recommended in place of a bridge to replace single missing teeth.

implant for missing front tooth

Implant inserted to replace missing front tooth

X-ray of implant with crown cemented

X-ray of implant with crown cemented

restoration completed with crown placed

Restoration completed with crown placed

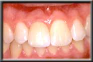
closeup of final cosmetic result

Close-up of beautiful cosmetic result. It is difficult to tell which tooth was replaced with the implant/crown.

The advantages of implants over bridges include:

  • It is not necessary to drill down the adjacent natural teeth to make crowns.
  • The teeth remain separate, making cleaning (flossing) easier.
  • If a bridge fails, the entire bridge must be removed. Implants are stand-alone.
  • Implants cannot decay, the main reason for bridge failure.

 

Back to Top

 

Implant Replacement for Multiple Teeth

 

Implants can be used to support multiple teeth, or bridges. They are very useful when the natural teeth are not strong enough to support a bridge, or when there are no teeth available to which a bridge can be connected. In these cases, implants offer the only solution for a permanent restoration, and an alternative to a removable appliance.

four implants supporting bridge

Four implants supporting bridge

X-ray of implants in place

X-ray of the implants in place

completed implant supported bridge

Completed implant supported bridge

Back to Top

 

Implant Supported Partial and Full Dentures

 

Conventional full dentures, particularly lower dentures, are often loose, and offer only marginal chewing ability. This may also be true of partial dentures that have only a few teeth supporting them. Implants are the solution, and offer remarkable support for removable appliances. In fact, implants were originally developed primarily to help the millions of people with ill-functioning dentures.

five lower implants support bar that denture clips to

Five lower implants supporting a bar to which the denture clips

lower denture

Lower denture

underside of denture showing clips

Underside of denture showing clips

The advantages of an implant supported removable appliance include:

 

  • More secure retention and fit of appliance, improving function and comfort
  • Less stress on any remaining natural teeth holding the appliance
  • Reduction or elimination of bone shrinkage where implants placed

 

Back to Top

 

Implant Placement

 

Implant placement is comfortable, and generally there is little pain post-operatively. This is because the bone that receives the implant has no nerve endings, and the only minor discomfort is from the small incision in the gum. Over 75% of our implant patients report taking only Advil and Tylenol after surgery. The implants are checked regularly after placement to follow healing. It takes 1 - 3 months for the implants to integrate (bond) with the jawbone, at which time the final crown or appliance can be made. (See Implant Treatment Outline).

Back to Top

 

Patient Selection

 

The ideal candidate for dental implants is in good general and oral health. Smoking, while not a contraindication, is a risk factor. For successful implant placement, there must be sufficient bone height and width to hold the implant. In the lower jaw there must also be sufficient bone available above the mandibular nerve, which runs within the jawbone. The amount of bone available is determined by clinical exam, by x-rays and by CAT scan. If insufficient bone exists, we now have the ability to increase the amount of bone with ridge augmentation procedures. In the upper arch, the proximity of the sinus may reduce the amount of bone available. Sinus lift procedures can add bone to the floor of the sinus, allowing for implant placement.

Back to Top

 

Risks of Implant Placement

 

As with any surgical procedure, there are risks involved with implants. The greatest single concern with implant placement is impingement on the mandibular nerve, which is found in the lower back jaw. Damaging this nerve can cause a permanent numbness of that side of the lower lip. By carefully evaluating the position of the nerve with x-rays and Cat scans, the risk of injury is very small and seldom occurs.

Another complication of implant placement is infection, an unusual occurrence that generally develops within six months of placement and may cause failure. We usually do not know why the implant fails, but it is thought it may be due to bacteria that were already present in the bone before the implant was placed. Fortunately most failed implants can be replaced with another implant, once the site has healed. The success rate of implants reported in the dental literature ranges from 92%-97%, depending on the study. In our practice the success rate is 97 - 98%. Implants can successfully be placed in adults of any age, although certain health problems may contraindicate their use.

Back to Top