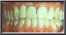
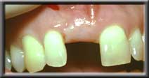
Ridge Augmentation
|
Severe ridge defect after extraction |
Ridge augmented to return normal shape |
Deficient ridge making artificial tooth look unnatural |
Ridge augmented and expanded so artificial tooth appears to emerge from gum |
The best way to treat a ridge deficiency is to prevent it from occurring. The amount of bone loss from an extraction can be minimized by performing a ridge augmentation at the time of extraction (See Treating Extraction Sites).

Ridge Augmentation