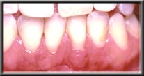
Gum Recession
|
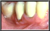
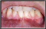
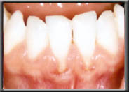
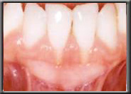
Some people are born without sufficient attached gingiva to prevent the muscle in the alveolar mucosa from pulling the gum down. In these cases the gum slowly continues to recede over time, even though the patient may be very conscientious with their oral health. This is not an infection, as is seen with periodontal disease, but rather simply an anatomic condition. Unfortunately, bone recession is occurring at the same time the gum is receding. This is because the bone, which is just under the gum, will not allow itself to become exposed to the oral cavity and moves down with the gum.
A lack of attached gingiva is sometimes associated with a high frenum attachment, which exaggerates the pull on the gum margin. A frenum is a naturally occurring muscle attachment, normally seen between the front teeth (either upper or lower). It is normal to have a frenum, but it should not pull on the gum margin or recession will occur. If pulling is seen, the frenum is surgically released from the gum with a frenectomy. Often a new band of hard gum is also added to re-establish an adequate amount of attached gingiva (see below).
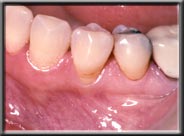
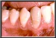
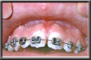
With the wear and tear of time, even normal attached gum can be worn away, generally from vigorous brushing. This often happens in people with naturally thin tissues, or when the tissues have been stretched during orthodontics. If there is still adequate attached gum to act as a barrier to the muscle, the treatment for recession is to ensure further damage isn't done when brushing. However, if the attached gum is worn to the point where it cannot resist the constant pull of the mucosa, recession will continue unless a new hard band of gum is placed. Unchecked, the recession can cause tooth loss as the bone recedes with the tissue and tooth support weakens.
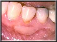
The replacement of missing attached gum is called gingival grafting. The muscle that is pulling down on the edge of the gum is first surgically resected and repositioned away from the gum margin. Then a small piece of attached gingiva is taken from the roof of the mouth, just adjacent to the back teeth, and transplanted to the site in question. The new tissue reattaches and reforms a new layer of attached gum, which should last a lifetime with proper care. The roof of the mouth heals quickly, just like a skinned knee might. With this procedure the root is not covered, and the tissue stays at the same level as before, except with attached gingiva at the margin. These procedures are very easy on the patient, and rarely require more than over-the-counter pain pills post-operatively (ibuprofen). Routine gum grafts ("gingival grafts") do not cover up the exposed root surface - if this is desired, a different technique is used (See Cosmetic Procedures, Root Coverage). Covering the root does not make the tooth stronger, for the bone, which actually holds the tooth in place, does not change regardless of the new gum level. Rather, root coverage procedures are primarily done for cosmetic reasons, or when there is exceptional root sensitivity after recession.
| |||||||||||||||||

In health, there are two types of gum tissues that surround the tooth. The part that is around the neck of the tooth is firmly attached to the tooth and underlying bone, and is called
