Gum Levels
|
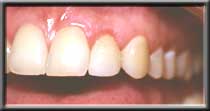
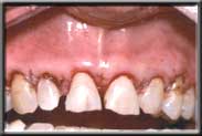
Short lateral tooth, with low gum |
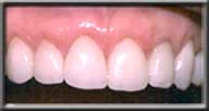
Gum made level with adjacent teeth so normalcrown could be placed |
Irregular gum levels with short, chipped teeth |
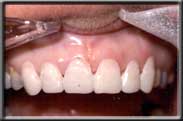
Following gum recontouring and crowns |
Clinical Case
Regardless of the beauty of the crowns or veneers, unless the gum line is contoured in a pleasing manner, the esthetic results will be poor. Scalloping the gum to a pleasing form is generally very easy for the patient, with minimal post-operative discomfort. The general dentist should wait for 12 weeks before the final crowns are completed, to ensure the gum has healed to its final level. If the patient feels the teeth look too long during the healing phase, temporary crowns can be made.
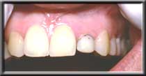
Pre-operative view. Note short teeth and irregular gum contour |
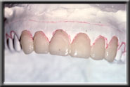
Desired shape of tissue determined on model of patient's teeth |
Desired tooth form is waxed on model,and a plastic stent made |
Plastic stent placed over teeth prior to surgery as a guide |
Tissue recontoured to desired position and sutured in place |
Stent placed after scalloping to confirm proper contouring |
Post-op tissue healing |
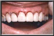
Final restorations in place |

Irregular Gum Levels