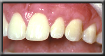
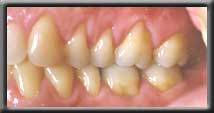
When there is gum recession, the root of the tooth often shows and is unsightly. Gum grafting is needed to restore health (See Gum Recession), but root coverage may also be desired to improve appearance. This is generally accomplished with a connective tissue graft, dermis grafts or the use of tooth development proteins, which help provide new attached gingiva while covering the root surface.
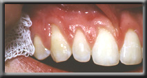
Recession of canine gum producing a "fang-like" appearance
|
Click
for
larger
view
|
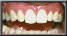
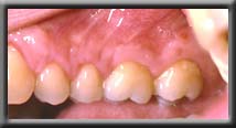
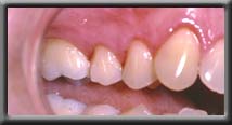
Complete root coverage with normal gum contour
|