South Burlington Office

1775 Williston Road
Suite 250
South Burlington, VT 05403
Phone: (802) 735-1209
Click here for office hours.

Barre Office

248 S Main St.
Barre, VT 05641
Phone: (802) 476-0995
Click here for office hours.

Visit our blog Watch us on YouTube Find us on Facebook Follow us on Twitter
ADA AAP AAP

Oral Hygiene

Mouth bacteria that collects under the edge of the gum is the cause of periodontal disease. It is VITAL that the patient remove this plaque once daily, to prevent reoccurrence of the disease. Oral hygiene and regular maintenance appointments are the critical steps of long term success. No matter how successful the initial treatment, without adequate follow-up the disease will reoccur. The patient must truly take responsibility for his or her own health.

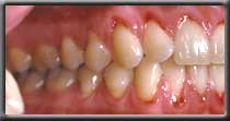
poor oral hygiene image one poor oral hygiene image 2
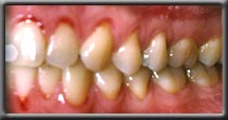
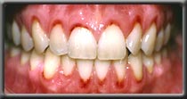
new patient with poor oral hygiene

New patient with inflamed gums caused by poor oral hygiene

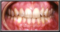
patient's oral hygiene improves image one patient's oral hygiene improves image two
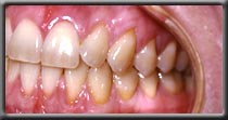
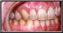
patient returns to proper oral health after six weeks

Patient returns to health after 6 weeks of excellent oral hygiene

Brushing and flossing are the two mainstays of oral hygiene. The bristles of the brush must slide into the cuff of the gum, like a broom may slide under the edge of the refrigerator. The brush should move in a small circular motion, or stationary jiggling motion. Scrubbing is not recommended, in that it may lead to gum recession. (See How to Brush)

toothbrush angles under gum

Brush angles under the gum

brushing lower molars example picture

Brushing lower molars

brushing upper molars example picture

Brushing upper molars

Electric brushes have been shown to be more efficient than manual brushes. For most people they are easier to use. However, they also must be properly placed around the teeth to remove plaque. They do NOT replace the need for flossing or rubber tipping.

sonicare electric toothbrush

Sonicare electric brush head

Flossing is the most common method used to remove plaque from under the gum, between the teeth. Because most periodontal disease starts between the teeth, flossing is even more important than brushing. MOUTHWASHES DO NOT REPLACE THE NEED FOR FLOSSING. Good flossing is a skill that takes practice, but nothing can replace it in preventing periodontal disease. When learned, it should only take 2-3 minutes a day. When flossing it is important to slide the floss completely under the gum, wrapping around the tooth as far as possible. (See How to Floss)

example image of flossing between teeth

Floss between teeth, but not yet under the gum

example image of flossing underneath gum

Floss wrapped under gum

There are many other aids that are available to help with oral hygiene. These include small brushes that can clean spaces between the teeth (proxibrush), and threaders to guide floss under bridges (floss threaders) and rubber tips. Toothpicks may be recommended to help clean furcations. Each patient is individually assessed to see what may help optimize their cleaning efforts.

proxibrush enters space between teeth

Proxibrush entering space between teeth

proxibrush cleaning between teeth

Proxibrush cleaning between teeth